
CAR-T疗法(嵌合抗原受体T细胞免疫疗法)常被媒体称为“抗癌神药”,尤其在血液肿瘤领域,它曾创造过无数“清零”癌细胞的奇迹。对于患有中枢神经系统淋巴瘤(CNSL)的病友来说,这本该是最后的救命稻草。
然而,现实往往比新闻报道残酷。临床数据显示,虽然CAR-T疗法能让部分CNSL患者获得缓解,但中位无进展生存期(PFS)仅为3-5个月。也就是说,很多患者在经历了昂贵的治疗和副作用的煎熬后,没过多久病情就又恶化了。
到底是哪些人在治疗后容易复发?有没有办法提前预知风险?治疗失败后,还有没有“后悔药”可吃?
近期,来自哈佛医学院麻省总医院的研究团队在顶级期刊《Journal of Hematology & Oncology》上发表了一项重磅研究。他们回顾了过去6年间接受CD19-CAR T细胞治疗的60位患者,不仅揭示了导致治疗失败的两大“隐形路障”,还为失效后的挽救治疗指明了方向。
在研究的60位患者中,CAR-T疗法的总体反应率达到了60%,其中45%的患者实现了完全缓解。这听起来不错,但剩下那些治疗无效(难治性)或缓解后又迅速复发的人,到底出了什么问题?
研究人员像侦探一样,对患者治疗前的核磁共振(MRI)影像进行了逐帧分析,结果发现了两个惊人的规律。
第一种危险信号出现在肿瘤的形态上。如果影像显示肿瘤呈现“周边强化”(Peripheral Contrast Enhancement, pCE),也就是像甜甜圈一样,只有边缘发亮而中心暗淡,这通常是一个极差的信号。
数据表明,凡是拥有这种影像特征的患者,几乎都属于“原发性难治”人群——即CAR-T细胞输进去后,肿瘤纹丝不动,甚至继续生长。而在那些获得完全缓解的患者中,几乎没有人具备这一特征。
如图[1]所示,我们可以清晰地看到这种影像学特征对预后的影响:
这种“周边强化”可能意味着肿瘤内部存在特殊的微环境(如缺氧、坏死或高表达的免疫检查点),这层屏障就像护城河一样,挡住了CAR-T大军的进攻,导致治疗不仅无效,甚至可能比普通患者恶化得更快(风险比高达2.75)。
第二种信号则更加隐蔽,那就是脑膜疾病(Leptomeningeal Disease, LMD)。
有些患者在治疗初期效果很好,肿瘤似乎消失了(达到了完全缓解)。但如果他们在治疗前被检测出有脑膜受累(癌细胞扩散到了覆盖大脑和脊髓的薄膜中),那么他们迅速复发的概率显著增加。数据显示,有脑膜受累的患者,中位无进展生存期仅为1.5个月,而没有受累的患者则为8个月。
这提示我们,脑膜可能是一个“避难所”,藏匿了微量的癌细胞,常规检查难以发现,等到风头一过,它们便卷土重来。
除了预测风险,科学家们还发现,CAR-T治疗失败的方式并非杂乱无章,而是有着明显的“性格特征”。
这种规律提示医生:对于原本治疗效果好的患者,复查时不能只盯着原来的病灶看,必须全脑扫描,警惕“异地突袭”。
如果最坏的情况发生了——CAR-T治疗失败了,患者是否就面临绝境?
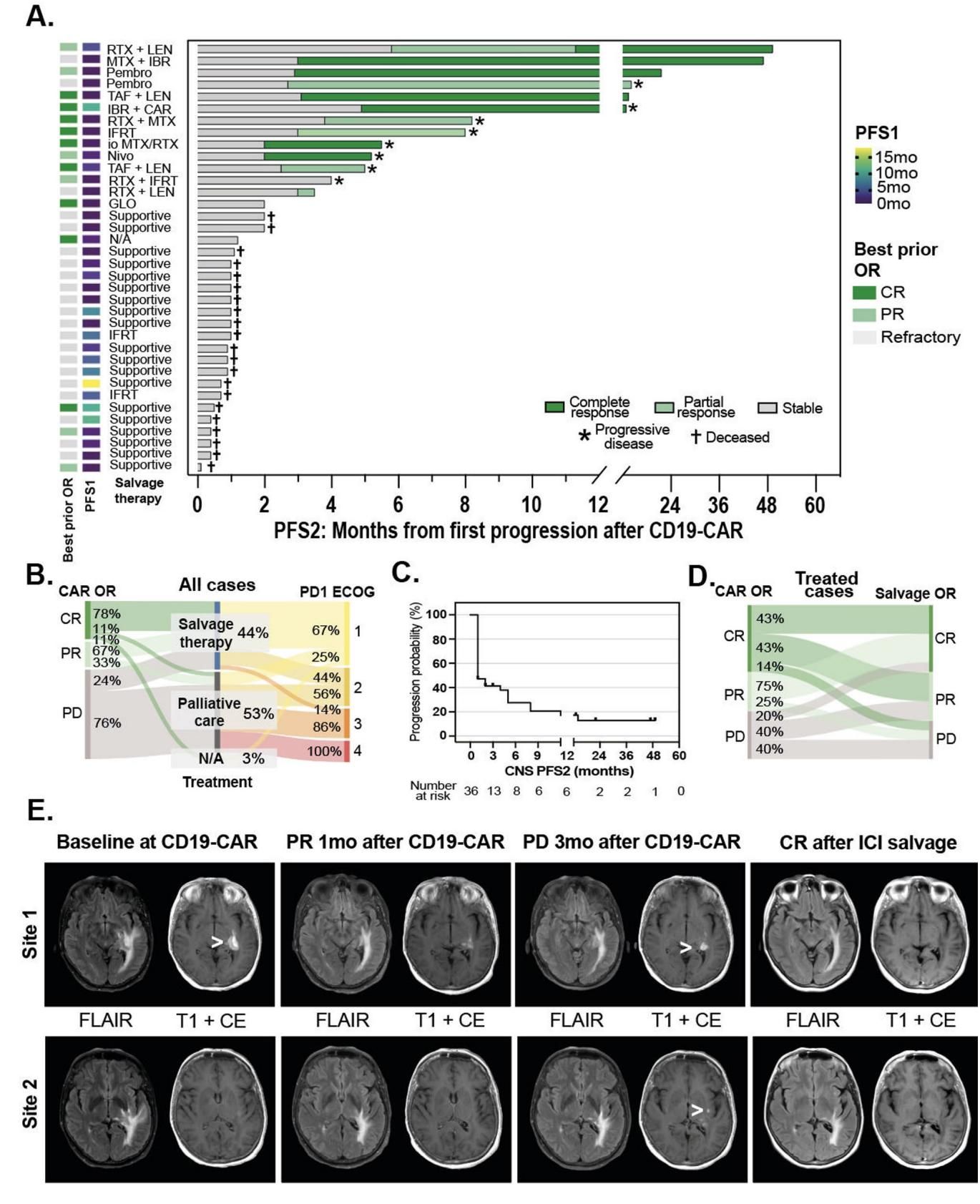
研究统计发现,一旦CAR-T失效,患者的中位无进展生存期仅剩1个月,形势极其严峻。但好消息是,研究团队探索出了几种有效的挽救疗法。
如图[2]所示,这是关于挽救治疗效果的详细分析:
数据分析显示,使用ICI或来那度胺联合疗法的患者,往往能获得更长的生存时间。
这项研究虽然基于回顾性数据,但它为医生和患者提供了宝贵的“战术地图”。
科学在不断进步,虽然CAR-T目前还不是完美的“神药”,但随着我们对失败原因的理解越来越深,未来的治疗方案必将更加精准、有效。
本文由超能文献“资讯AI智能体”基于4000万篇Pubmed文献自主选题与撰写,并经AI核查及编辑团队二次人工审校。内容仅供学术交流参考,不代表任何医学建议。